شهد عام 2020 ظهور العديد من الحالات الطبية الغريبة والمثيرة للدهشة والاهتمام مثل شخص يعاني من البول الأخضر إلى شخص آخر يحمل دبوس في قلبه وغيرها من الحالات.
إليك أغرب الحالات الطبية التي شهدها هذا العام:
البول الأخضر:
ذهب مسن أمريكي يبلغ من العمر 62 عاما إلى المستشفى و شخصه الأطباء ان دمه ملئ بنسبة كبيرة من ثاني اكسيد الكربون وحياته في خطر شديد و وضعه الأطباء على جهاز التنفس الصناعي واعطوه مخدر ال propofol ، ونشرت مجلة The New England انه بعد مرور خمسة أيام تحول بول الرجل للون الاخضر وبعد الفحوصات تبين ان مخدر ال propofol هو السبب وراء ذلك في حالة طبية نادرة لا تتكرر كثيرًا ولحسن حظ الرجل ان الأمر توقف بمجرد التوقف عن تناول المخدر.

حساسية البرد:
أُصيب رجل من ولاية كولورادو الامريكية، بحساسية شديدة من البرد لدرجة كادت تُنهي حياته، ازدادت حالة الرجل سوءً بعد ان خرج من حمام ساخن لجو بارد فأصيب بحساسية مفرطة لدرجة جعلته يعاني من صعوبة في التنفس وقال الأطباء إن الرجل مصاب برد فعل تحسسي تجاه الهواء والأجواء الباردة الأمر الذي ينجم عنه عدة أعراض مزعجة مثل الطفح الجلدي الأحمر ومن الممكن ان تتفاقم الحالة وتصل لإنخفاض ضغط الدم وضيق التنفس، تلقى الرجل علاج مكون من مضادات الهيستامين والستيرويدات لتحسين وضعه.

عرقسوس مميت:
فقد رجل يبلغ من العمر 54 عامًا الوعي ونقل للمستشفى بعد تعرضه لمشكلة قلبية مهددة للحياة وعلى إثرها فارق الرجل الحياة بعد 32 ساعة فقط من وصوله للمستشفى، ونشرت مجلة The New England الطبية عن حالته وسبب الوفاة انه كان يطبق روتينًا غذائيًا ضارًا وتناول الكثير من العرقسوس بشكل يومي و العرقسوس يحتوي على مادة الجلسرهيزين التي تعمل على تقليل مستويات عنصر البوتاسيوم وارتفاع ضغط الدم واضطراب ضربات القلب الأمر الذي أودى بحياة الرجل.
ووفقًا للمعلومات الصادرة عن إدارة الغذاء والدواء الامريكية، تناول 56.70 جرام من العرقسوس الأسود بشكل يومي لمدة أسبوعين يؤدي للإصابة باضطراب في ضربات القلب خاصة لمن تزيد أعمارهم عن 40 عامًا.

دبوس في القلب:
كشف تقرير طبي منشور بتاريخ ال29 من شهر يوليو/ تموز عن حالة مراهق يبلغ من العمر 17 عامًا، دخل لاحدى غرف الطوارئ وهو يعاني من الم حاد في الصدر والظهر وأظهرت الأشعة المقطعية وجود جسم معدني غريب داخل القلب وتبين بعد ذلك انه دبوس خياطة يبلغ حجمه 3.5 سم وتبين ان هذا المريض يعمل في مجال صناعة الملابس ويضع الدبابيس في فمه لكنه لم يدرك انه ابتلع إحداهما وبعد الجراحة التي أجراها تعافى المريض ولم تشهد حالته اي مضاعفات صحية اخرى.

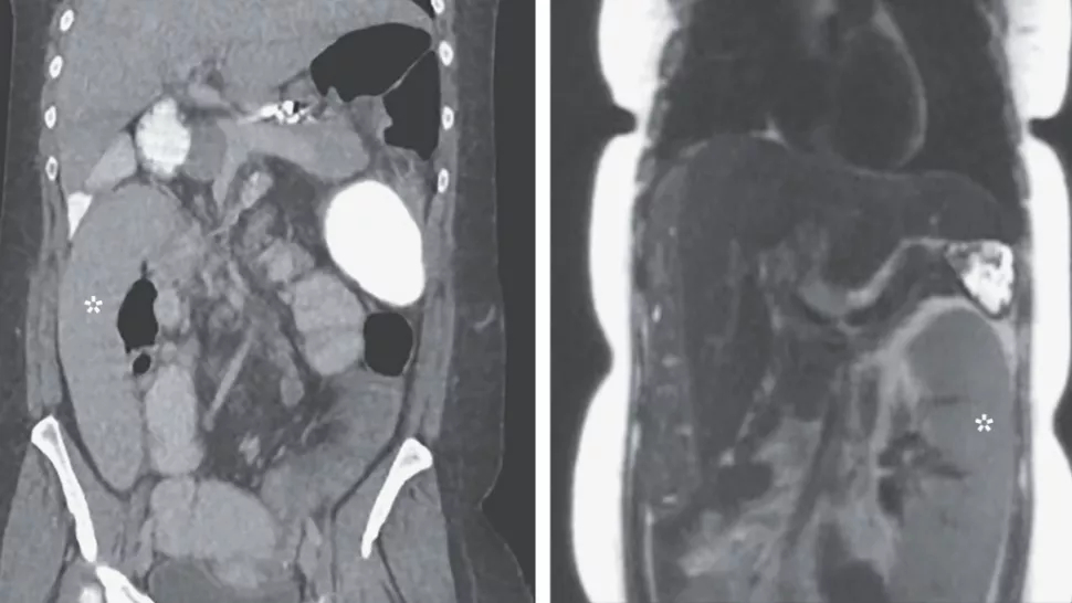
الطحال المتجول:
تعاني امرأة امريكية تعيش في ولاية ميشيغان من حالة طبية نادرة وهي تحرك الطحال داخل جسدها لمسافة قدم كامل وأظهرت أشعة التصوير المقطعي انتقال الطحال من الربع العلوي الأيسر من البطن إلى الربع الايمن السفلي وذكر الأطباء ان العلاج المناسب في هذه الحالة هو استئصال الطحال حتى لا يتحرك اكثر داخل أجزاء الجسم.

ثلاث كٌلى:
تفاجأ الأطباء في البرازيل ان هناك احد الاشخاص يحتوي جسده على ثلاث كُلى ليس اثنتان كما هو المعتاد، في البداية لجأ الرجل الذي يبلغ من العمر 38 عامًا، للمساعدة الطبية بسبب شعوره بآلام مبرحة في منطقة الظهر وخضع على إثر ذلك للتصوير بالاشعة المقطعية التي أظهرت وجود كلية طبيعية على الجانب الأيسر وكليتين بالقرب من منطقة الحوض.
